手外科
特色
整形外科の中の手外科と言っても扱う疾患は多く、肘から手の指までの部位の病気や外傷に対して検査や治療をいたします。手外科の中にも細かい専門があり、主に外傷(橈骨末端・舟状骨・手指の骨折、腱・靭帯断裂など)、腱鞘炎(ばね指など)、神経障害(手根管症候群、肘部管症候群)、骨壊死(キーンベック病)、偽関節などの手外科疾患を扱っております。 当院では多種多様な手外科疾患に対して専門的な診療と診断、治療を行っておりますが、特に橈骨遠位端骨折や舟状骨偽関節に対しては多くの術式を使い分けて対応しております。
取り扱い疾患など
病気には、指や手関節の腱鞘炎(ばね指、ドケルバン病)、神経障害(手根管症候群、肘部管症候群)、変形性関節症(母指CM関節症、へバーデン結節)、各骨折後に生じた変形治癒(橈骨末端など)や偽関節(舟状骨など)、手の腫瘍(ガングリオン、内軟骨腫など)、骨壊死(キーンベック病)、指の動きが制限されるいわゆる“拘縮”(デュプイトラン拘縮など)などがあります。 外傷には、手関節の骨折(橈骨末端骨折や舟状骨骨折など)、指の骨折(中手骨骨折、指節骨骨折、槌指)、肘周囲の骨折(上腕骨遠位部骨折、肘頭骨折など)、前腕の骨折(橈骨および尺骨骨折)、腱・神経・靭帯の断裂、各関節の脱臼などがあります。
ばね指・ドケルバン病
指の根元部分(ばね指)もしくは母指側の手関節(ドケルバン病)で腱鞘炎が起きて痛みや腫れが生じる病気です。ばね指では指を曲げ伸ばししようとするとばね現象が生じます。安静、ブロック注射,手術などにより治療します。
手根管症候群
母指から環指までの4本(もしくは3本)の指にしびれ、痛みが生じる病気です。しびれは明け方に強く生じ、普段手を振ることが多くなります。病気が進行すると母指の付け根の筋肉が痩せて細かい作業が困難になります。正中神経が手関節で圧迫されたことにより生じます。安静、内服、ブロック注射、手術などにより治療します。
肘部管症候群
環指と小指にしびれが生じ、進行すると手の筋肉の痩せや環指と小指の変形を起こします。特発性(明らかな原因がないもの)、もしくは肘の変形(老化やけがの後遺症)や腫瘍などが原因で、尺骨神経が肘の内側で圧迫されたことによって生じます。症状が進行した場合には手術により治療します。
母指CM関節症
母指のCM関節(根元部分にある関節)が使いすぎや老化によって変形を生じ、痛みや運動時痛があります。内服、関節内注射、サポーター、手術により治療します。
へバーデン結節
示指から小指にかけてのDIP関節が使いすぎや老化によって変形を生じ、腫れたり曲がったりする病気で痛みを伴うことがあります。水ぶくれのようになることもあります。
ガングリオン
指や手関節周辺に米粒大からピンポン玉くらいまでの腫瘤ができる病気です。不快感があり、神経が圧迫されると痛みがでることもあります。手関節にできることが多く、軟らかいものから硬いものまであります。関節包から生じます。注射器で腫瘤を穿刺するとゼリー状の内容物を採取できます。放置しても問題はありませんが、痛みのあるものや大きいものに対しては内容物の穿刺や摘出手術を行います。いずれの治療方法でも再発する場合があります。
キーンベック病
月状骨という手根骨の血行障害により生じる病気で、腫れや痛み、手に力が入らないというような症状が表れます。X線やMRI検査により診断されます。当院では、月状骨周囲の健常な骨を固定して月状骨の負担を軽減するような部分手関節固定術を行っています。子供の場合にはピンの固定を一時的に行うだけで非常によい結果が得られています。


デュプイトラン拘縮:
- 手の平から指にかけて硬結ができて皮膚がひきつれることによって指が伸ばしにくくなる病気です。環指や小指に多く見られますが、他の指や足の裏にも見られます。屈筋腱は正常で腱膜の異常により生じます。糖尿病の方に多く見られます。日常生活に支障を来たすようになると手術により治療をします。
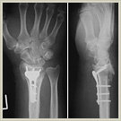
橈骨遠位端骨折:
転倒などにより手を着いた時に生じる頻度の高い手関節の骨折です。閉経後女性に多いですが、若い人でも強い外力が加わると骨折します。手術は、プレートと螺子を用いて骨をできるだけしっかりと固定します(ロッキングプレート)。当院では骨折の形態によってプレートを掌側もしくは背側に使い分けて設置しており良好な成績を得ています。



舟状骨骨折:
- スポーツや交通外傷などで手を着いた時に生じる骨折です。舟状骨は手関節の母指側にあり、その部分の痛みと腫れが生じます。ギプス固定や手術によって治療します。ただし、この骨折は「捻挫」と思ったまま治療されなかったり適切に治療されなかった結果、骨折部が治らないままあたかも関節のようにグラグラと動いてしまう偽関節になることがあります。偽関節になるとさらに専門的な手術による治療が必要になります。
舟状骨偽関節:
術は、偽関節部の不要な組織を可能な限り掻爬(除去)してからピンで固定し、橈骨の一部を移植します。手術の後にギプスを約6週間行います。この方法で現在までほぼ100%の割合で舟状骨の偽関節部は骨癒合し、非常によい結果が得られています。


槌指(マレット変形):
指を突いた時に生じる外傷で、指のDIP関節が曲がったままの状態で腫れや痛みがあり、自分で指を伸ばすことができません。骨折を伴う場合と伴わない場合があります。骨折を伴う場合には手術、伴わない場合には装具によって治療します。
担当医師
常勤
所属学会
日本整形外科学会/日本手外科学会/日本マイクロサージャリー学会/日本骨折治療学会/中部整形外科超音波学会/日本整形外科超音波学会経歴
これまで大阪で手外科、特に労働事故等に伴う切断や挫滅創を伴う重度手指外傷の治療を多く行ってきました。 当院でも上記の手外科疾患に加え、これらの重度手指外傷の治療にできるだけ対応したいと考えております。 また、外傷後の後遺症として多い手指関節拘縮(手指の関節が曲がらない、または伸びない)に対する治療も多く行ってきました。 関節拘縮は皮膚、皮下組織、腱および関節自体の問題が組み合わさって生じており治療は非常に難しく、外傷の程度によっては手術の適応がない場合もありますが、手術により改善する症例も多く経験しております。 さらに長期間経過した拘縮例でも改善する可能性はありますので手指の関節拘縮でお困りの場合は一度当院手外科外来に受診していただきご相談ください外来担当医表
整形外科 外来担当医表
※各診療担当医/診察時間は都合により変更及び休診となる場合がございます。お手数をおかけ致しますが、お電話にて(0743-70-0022)お問合せいただきご確認のほどよろしくお願い申し上げます。
午前外来診察 午前9時~12時 (受付時間 午前8時30分~12時)
| 月 | 火 | 水 | 木 | 金 | 土 | |
|---|---|---|---|---|---|---|
| 一診
(初・再診) |
- | - | 辻尾唯雄 | 辻尾唯雄 | - | - |
| 一診
(再診・紹介) |
関昌彦 | 小林章郎
(膝関節希望初診可) |
- | - | 関昌彦 | 辻尾唯雄 |
| ニ診
(初・再診) |
田中祥貴 | 岩切健太郎
(股関節希望初診可) |
赤羽葵 | 田中祥貴 | 植野修平 | 岩切健太郎
(股関節希望初診可) |
| 三診
(初診・再診) |
牧修平 | 植野修平 | 秋津風琢磨 | - | 牧修平 | 秋津風琢磨
[第1,3,5週]
赤羽葵
[第2,4週] |
午後外来診察 午後1時30分~4時
| 月 | 火 | 水 | 木 | 金 | 土 | |
|---|---|---|---|---|---|---|
| 関節外来
再診・紹介・希望初診 |
- | - | - | - | 小林章郎
(膝関節希望初診可) |
- |