人工股関節置換術
人工股関節置換術とは、病気やけがで痛んだ股関節を人工の関節に取り替える手術です。痛んだ部分は手術で取り除かれ、精密に作られた人工関節で動きますので、痛みが和らぎ関節の動きもスムースになり、歩く姿勢がよくなります。姿勢がよくなることで、膝や腰の痛みも和らぎます。
人工股関節置換術の材料は金属(チタン合金、コバルトクロム合金)、セラミック、ポリエチレン(超高分子ポリエチレンと呼ばれる摩耗に強い素材)が使われております。どの素材を使用するかは患者さんに合わせて判断させていただきます。人工材料と骨との固定は骨セメントという樹脂(物質名:ポリメチルメサクリレート)を使用する場合(セメント固定)とセメントを使用せず固定する場合、その組み合わせ(ハイブリッド固定)がありますが、当院では原則的にはセメントを使わない方法で固定します。

人工股関節の耐久性は、10年間ゆるみがなく、日常生活が過ごせる可能性が95%以上あり、長期に安定した手術法です。また、最近術後20-30年経過された方の結果が出て、80%ぐらいの方は変わりなく使用出来るとの報告もあります。長期になると人工関節材料のすり減り(磨耗)が問題になることがありますが、近年の材料の改良により、すり減りが非常に少ない材料が開発されており、さらに長期の耐久性が向上すると思われます。
人工股関節置換術に伴う合併症はいずれも頻度の低いものです。

① 術後感染(病原菌により化膿してしまうこと)
これは人工関節周囲がいったん感染を起こしてしまうと治りにくいという性質のため、最も注意のいる合併症です。当院では感染予防策として、手術室はクリーンルームを使用し、術者も宇宙服のような特別な手術着を着用して術者から細菌が入らないようにしています。また予防的な抗生物質の全身投与や骨セメントへの混入などできるだけの対策を取っています。万が一感染が起こった場合でも、早く発見して処置を行えば治る場合も多いです。
② 出血(輸血の必要性)
人工股関節置換術は、骨をさわる手術なので、ある程度の出血を伴います。しかしながら、当院における手術では、筋肉の間から侵入して筋肉や組織を切らず手術を行うため、出血量は比較的少なく抑えられております。また手術中にも止血剤の全身および局所投与を行うなどの工夫を行っており、2015年当初からは、原則、貯血式自己血輸血を行っておりません。しかしながら、術後に輸血を必要とした症例は1例もありません。 最近では、手術中に出血した血液を回収し、洗浄後また自己血輸血を行う、術中自己血回収装置を使用することで、さらに出血量を減らす工夫を行っております。

③ 脱臼(関節がぬけてしまうこと)
従来の方法で手術を施行すると、「手術の後はしゃがんではダメ」、「和式トイレに入ってはダメ」、「正座をしてはダメ」、「あぐらをかいてはダメ」、「寝るときは膝に枕を挟まなければダメ」などと指導されます。当院では、手術方法の工夫により、術後の禁止肢位は一切ありません。当院では、筋肉を一切、切らない方法で手術を行っています。
④ 深部静脈血栓症
術後、下肢の静脈内に血のかたまり(血栓)ができることがあります。大きな血栓ができ、それが血液中に流れ出し、肺の血管につまると、飛行機で長時間座っていても起こるので有名になったエコノミー症候群(肺梗塞症)をおこします。これで生命に関わるということはまれですが、予防としては出来るだけ早くから動く(筋肉を使う)ことが一番重要で、当院では積極的に早期リハビリに取り組んでいます。
術後のリハビリは専門の理学療法士と協力してしっかりとしたメニューで取り組んでいます。術後2日目に歩行器歩行練習を開始し、平均的には1週間で杖歩行自立され、その後、階段昇降も可能となってから、術後1~3週間で退院できます。当院では、患者さんのご要望に対し、比較的柔軟に対応できるため、退院時期については様々です(最短4日~30日程度)。
人工股関節置換術 手術実績
| 人工股関節置換術 | 再置換術 | 脱臼 | 感染 | 神経麻痺 | |
|---|---|---|---|---|---|
| 2011~2023 | 1347例 | 17 | 4 | 5 | 0 |
| 2023 | 147例 | 1 | 0 | 0 | 0 |
| 2022 | 179例 | 1 | 0 | 1 | 0 |
| 2021 | 168例 | 1 | 0 | 1 | 0 |
| 2020 | 135例 | 1 | 0 | 1 | 0 |
| 2019 | 128例 | 3 | 0 | 0 | 0 |
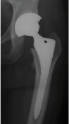
右変形性股関節症の方です。手術前は非常に痛みが強く足をしっかりつけませんでしたが、手術後痛みは楽になり1週間で杖歩行が可能となりました。3週間では杖なしでスムースな歩行ができるようになりました。