股関節の病気と治療
股関節
股関節は足の付け根にある、骨盤と大腿骨とをつなぐ関節で、下肢と胴体をつなぐ部分であり、歩行に非常に大切な関節です。股関節が痛くなると姿勢が悪くなり、歩くことや立ったりしゃがんだりすることが不自由になり、外出するのもおっくうになってしまいます。また腰痛の原因にもなります。

主な股関節の病気
変形性股関節症
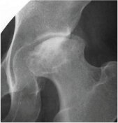
関節の軟骨が摩り減ることで起こる病気で、人工股関節の手術を受ける大半の患者さんがこの病気です。臼蓋形成不全(股関節の骨盤側の受け皿の部分が浅い)や先天性股関節脱臼(赤ちゃんの時に股関節が脱臼する)のある方は軟骨が摩り減りやすく、中年以降に痛みが出て、早い人では50歳ぐらいで軟骨が完全にすり切れてしまい手術が必要な状態になることもあります。痛みが軽いうちはお薬や運動療法(体操)などの保存療法(手術をしない治療)を行いますが、痛みが日常生活やスポーツなどのレクリエーションに支障になると、次は手術療法が必要になります。軟骨の摩り減りが少ない初期の段階であれば自分の骨を利用した手術(骨切り手術)で痛みが取れることがありますが、末期の状態になると痛みやこわばりが強くなり、人工股関節手術が必要になります。先天的な形の変化がない人でも70歳をすぎてから急にこの病気にかかる方が最近増えており、そのような方は痛みが強く手術が必要になる場合が多いです。

関節の隙間(軟骨層)が進行に伴い徐々に消失し、骨頭の変形を生じる。
特発性大腿骨頭壊死症
股関節の中心である大腿骨頭が壊死(骨の細胞が死んでしまうこと)を起こしてつぶれ、強い痛みを生じる病気です。仕事盛りの壮年男性(お酒の飲みすぎと関係があると言われています)や、他の病気の治療(全身性ループスエリテマトーデス:SLEなど)のためのステロイドホルモン使用に関連して若い女性に発症することが多い病気です。壊死範囲が小さければ経過観察か骨頭の骨切り術をして壊死のないところで体重を支えるようにしますが、骨頭の破壊が進めば人工股関節が必要になります。

関節リウマチ
関節リウマチとは一種の自己免疫疾患(免疫異常によって体の中の正常組織を傷害する物質{自己抗体}が産生される)で、全身のあらゆる関節が影響を受けます。治療の基本は内科的治療(薬物治療)で、近年新しい薬の開発(生物製剤)に伴って内科的治療成績が向上しています。しかし股関節や膝関節など下肢の大関節に病気が及ぶと、痛みが出て歩行できないなど日常生活動作が著しく制限されます。このような方は人工股・膝関節のよい適応です。痛みを我慢しすぎると骨がどんどん痛んできて、手術がしにくくなることがあり、手術のタイミングが重要です。リウマチで痛みが強い場合は関節外科専門医に相談ください。
