膝関節の病気と治療
膝関節
膝関節は大腿骨(太ももの骨)と脛骨(すねの骨)と前方にある膝蓋骨(おさらの骨)で構成されています。人体の中で最も大きな関節で、歩行や階段、たち座りなどの日常生活動作に非常に重要な役割を持っています。

主な膝関節の病気
変形性膝関節症
年齢とともに、膝関節の関節軟骨がすり減って、膝の痛みと変形が来る病気です。65才以上の方の50%以上にあるといわれ、女性に多く、高齢化社会を迎えた日本では一種の国民病とも言えます。原因は関節軟骨の老化と考えられますが、同じように暮らしていても、なる人もならない人もあり、個人差があります。その中ではっきりと関係のある要因は肥満です。膝関節には歩行をしているだけで体重の約3倍の力がかかるといわれており、変形性関節症の予防や進行を止めるためには、体重をコントロールすることが最も重要です。
病状の経過
最初の症状としては椅子から立ち上がりの時の痛み、階段での痛み、正座ができない、ということが多いです。その後、関節の動きが悪くなったり、時に関節にお水がたまったりします。通常、膝関節の内側の軟骨が痛むことが多く、外側よりすり減ってきますので膝がO脚変形をしてきます。徐々に歩行距離も短くなってきます。また病気の経過の特徴として、いい時と悪い時を数カ月単位で繰り返す、"波がある"のが特徴ですが、年単位で考えると徐々に進行していきます。

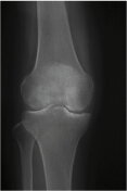
右膝
病気の進行とともに内側の関節の隙間(軟骨層)が狭くなり、やがて消失します。骨棘(こつきょく:棘のような余分な骨)も形成されてきます。そうなると正常ではまっすぐな脚が徐々にO脚に変形します。
治療
治療には手術をしない治療(保存療法)と手術療法があります。
保存療法
保存療法には以下のものがあり、通常いくつかの組み合わせで行います。比較的初期の変形の軽いときは保存療法で痛みをコントロールできますが、進行すると手術を受けた方がいい場合が多いです。
| 運動療法 | 膝関節周囲の筋肉を鍛えることによって痛みを和らげる方法です。数年前に当科で調査した結果では、最も単純な足上げ運動だけを約3ヶ月続けると8割以上の患者さんで痛みが和らぎ、力がアップし、また関節内部の潤滑(すべり)をよくする働きがあることがわかりました。また万が一、将来、手術を受けることになっても、そのときまでにできるだけ筋肉の力を保っておくということは重要です。![]() 1回10秒間大腿四頭筋を意識して思いきり足をのばし、同時に足首のそらせて10秒頑張る。10回を1セットとし、3セットを午前、午後、夜、1日計90回行う。結構しんどいですよ。 |
|---|---|
| 装具療法 | 足の裏につける、外側が厚くなった靴の中敷きのような装具(足装板)が有効です。また、支柱付き膝装具なども効果が認められています。 |
| 関節注射 | ヒアルロン酸ナトリウムの関節内注射も徐痛効果があります。ヒアルロン酸はもともと関節液中存在するものですが、変形性関節症ではその量が減ることが知られています。これを注射で補って関節の滑りをよくする効果があります。最近の研究では関節軟骨細胞そのものに注射によるヒアルロン酸が効き、炎症を抑える作用があるといわれています。 |
| 薬物療法 | 膝関節に炎症が起こり、お水がたまったりすることがあります。そういうときは消炎鎮痛剤(炎症を抑えて痛みを取るお薬)が有効ですが、長期に飲むと胃潰瘍などの副作用が出ることがあります。湿布などの外用薬にも消炎鎮痛剤が含まれ、比較的皮膚から近い膝関節では効果があるといわれています。また暖かいシップと冷たいシップはどちらも薬は同じで同じ効果が期待できますが、あとは貼った感触の問題なのでどちらかいい方を選べばいいと思いますが、あったかいシップの方がかぶれ易いと思います。 |
| 補助食品 (サプリメント) |
最近患者さんからの質問で多いのが、グルコサミン、コンドロイチン硫酸などのサプリメントが有効かというものです。これらは関節軟骨の構成成分で、ここ数年でいくつかの大きな食品メーカー、製薬メーカーなどからたくさんの製品が販売されています。これは2004年前に、ある権威のある学術雑誌にグルコサミンが変形性膝関節症の進行を抑えたという論文が掲載されたためですが、その後、効果がないとの意見もありまだまだ議論のあるところです。ただ値段があまり高くなければ(一ヶ月分3千から5千円、法外な値段で売っている怪しいものもあるので注意、ちなみにヒアルロン酸の内服は効果が期待できません)、効くかもしれないぐらいの気持ちで飲んでもいいとは思いますが、長く飲んでも効果がなければ次の治療に移るべきです。 |
手術療法
手術療法には、関節鏡手術、軟骨移植術、骨切り手術などの自分自身の関節を温存する手術と、人工膝関節置換術あります。変形の比較的軽い患者さんの場合は関節温存手術を、変形が強い方には人工関節の手術をお勧めします。それぞれの利点、欠点を以下にまとめました。
| 関節鏡手術 | 関節鏡というカメラを関節の中に入れて、関節の状態を直接見て診断するとともに、軟骨片や痛んだ半月板をきれいにして、同時に関節内の痛み物質も洗い流して痛みを取る手術です。傷が小さく、患者様の負担は小さいですが、除痛効果も一時的なことが多く、変形性関節症の進行を止める効果はないといわれています。ただMRI検査で軟骨の傷みだけでなく、明らかな半月板断裂を伴っている場合は適応になります。 |
|---|---|
| 軟骨移植術 | 自分の軟骨を膝のほかの部分から円柱状に取ってきて移植したり、自分の軟骨を一度取り出して試験管内で培養して増やしてから再び関節内に戻すという高度な治療の研究が盛んになされています。将来非常に有望なものと期待されますが、まだ残念ながら軟骨の強さが十分でなく、実用的な使用はできていません。 |
| 骨切り手術 | 一般には変形の比較的軽い方に適応となる手術です。利点としては自分の関節を利用できる、術前に曲がりのよい人はそれを維持しやすい、などが上げられますが、欠点としては、痛みを取る効果が人工関節に比べ劣る、術後リハビリにも時間がかかり、すぐに歩行を始めることができないなどということがあります。 |
| 人工膝関節手術 | 人工膝関節置換術ページをご覧ください。 |
関節リウマチ
関節リウマチとは一種の自己免疫疾患(免疫異常によって体の中の正常組織を傷害する物質{自己抗体}が産生される)で、全身のあらゆる関節が影響を受けます。治療の基本は内科的治療(薬物治療)で、近年新しい薬の開発(生物製剤)に伴って内科的治療成績が向上しています。しかしながら股関節や膝関節など脚の大関節に病気が及ぶと、痛みが出て歩行などの日常生活動作が著しく制限されます。このような方は人工股・膝関節のよい適応です。痛みを我慢しすぎると骨がどんどん痛んできて、手術がしにくくなることがあり、手術のタイミングが重要です。リウマチで痛みが強い場合は関節外科専門医に相談ください。

